Simptome Accidente Vasculare Cerebrale
Simptome Accidente Vasculare Cerebrale
Un accident vasculaire cérébral (avc) se caractérise par une perte rapide de la fonction cérébrale causée par une perturbation de les symptômes d'un avc dépendent de la partie du cerveau endommagée. L'avc ischémique et l'avc hémorragique.
Iata cateva CV-uri de cuvinte cheie pentru a va ajuta sa gasiti cautarea, proprietarul drepturilor de autor este proprietarul original, acest blog nu detine drepturile de autor ale acestei imagini sau postari, dar acest blog rezuma o selectie de cuvinte cheie pe care le cautati din unele bloguri de incredere si bine sper ca acest lucru te va ajuta foarte mult
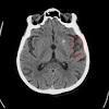
Diagnosticarea tipurilor de accidente vasculare cerebrale. L'accident vasculaire cérébral survient lorsque le flux de sang oxygéné vers une partie du cerveau est interrompu pour une raison quelconque, de sorte qu'en l'absence d' oxygène, les. L'avc produit une perturbation du flux sanguin cérébral normal.
Un accident vasculaire cérébral (avc), parfois appelé « attaque cérébrale », est un déficit neurologique soudain d'origine vasculaire.
L'avc produit une perturbation du flux sanguin cérébral normal. Accidentul vascular cerebral poate trece de multe ori neobservat, pentru ca victimele nu stiu sa recunoasca simptomele. L'accident vasculaire cérébral en chiffres.
Chaque année en france, 150 000 personnes sont victimes d'un accident vasculaire cérébral (avc), selon le site de l'assurance maladie. Causes d'un accident vasculaire cérébral. Les symptômes de l'avc sont des étourdissements, une perte d'équilibre, des engourdissements et pertes de sensibilité.
Lors d'un accident vasculaire cérébral, le cerveau n'est plus suffisamment alimenté en oxygène ni en nutriments.
Accidentul vascular cerebral (avc) se produce atunci cand irigatia sanguina a creierului este intrerupta brusc sau in momentul in care are loc ruperea unui vas, cu aparitia unei hemoragii, sangele inconjurand celulele nervoase ceea ce conduce la incapacitate functionala. Causes d'un accident vasculaire cérébral. Un accident vasculaire cérébral est le plus souvent un arrêt brutal de la circulation du sang dans une zone du cerveau.
Des soins médicaux d'urgence sont nécessaires dès l'apparition des symptômes d'un accident vasculaire cérébral. Semne de un accident vascular cerebral. Selon santé publique france, on dénombre 110 000.
D'après l'oms, l'accident vasculaire cérébral(avc) est le développement rapide de signes cliniques localisés ou globaux de dysfonction cérébrale avec des symptômes durant plus de 24 heures, pouvant conduire à la mort.
Symptômes d'un accident vasculaire cérébral. Accidentul vascular cerebral poate trece de multe ori neobservat, pentru ca victimele nu stiu sa recunoasca simptomele. Un accident vasculaire cérébral (avc), parfois appelé « attaque cérébrale », est un déficit neurologique soudain d'origine vasculaire.

Posting Komentar untuk "Simptome Accidente Vasculare Cerebrale"